의료 인공지능(AI) 기업 루닛이 최근 연달아 희소식을 전하고 있다. 24일 루닛은 720억원 규모의 상장 전 투자유치(Pre-IPO)를 단행했다고 밝혔다.
지난 7월 미국 바이오헬스케어 기업 가던트헬스(Guardant Health)로부터 300억원을 유치한 후 4개월 만의 추가 성과다. 현재 루닛의 누적 투자금은 약 1600억원에 이른다.
루닛은 프리IPO가 마무리되는 대로 이르면 이달 중 코스닥 예비심사청구를 진행할 예정이다. 이번에 확보한 자금은 AI 제품 연구개발(R&D)과 글로벌 시장 개척을 위한 운영자금으로 사용한다.
투자유치 소식에 이어 신제품 공개 소식도 전해졌다. ▲흉부 CT 데이터에 대한 AI 솔루션 '루닛 인사이트 체스트 CT(Lunit INSIGHT Chest CT)'와 ▲유방단층촬영(DBT)에 AI를 적용한 '루닛 인사이트 DBT(Lunit INSIGHT DBT)'가 그 주인공.
2개 신제품은 11월 28일부터 12월 2일까지 미국 시카고에서 열리는 북미영상의학회(RSNA)에서 첫 공개될 예정이다.
#루닛의 24일 프리IPO에 참가한 신규 투자자들
이번 투자에는 글로벌 헬스케어 투자전문 벤처캐피탈(VC)인 ▲헬스퀘스트(HealthQuest Capital) ▲캐스딘(Casdin Capital) ▲ACS 브라이트엣지(American Cancer Society BrightEdge), 홍콩 및 샌프란시스코 기반의 투자사 ▲타이번(Tybourne Capital Management), 싱가포르 및 보스턴 기반의 바이오텍 전문 투자사 ▲NSG 벤처스(NSG Ventures) 등이 신규 투자자로 참여했다.
국내에서는 네이버, 네이버 클라우드 등 네이버그룹이 신규 투자사로 나섰다. 기존 투자자인 ▲레전드캐피탈(Legend Capital) ▲소프트뱅크벤처스(SBVA) ▲IMM 인베스트먼트 ▲카카오벤처스 ▲미래에셋벤처투자 5곳도 이번 프리IPO에 참여했다.
해외 투자사와 네이버 등 이번 신규 투자사들은 모두 상장 후 1년간 보호예수(의무보유 확약) 예정이며, 국내 VC의 경우에도 의무적 보호예수 1개월에 자발적 보호예수를 더해 총 6개월간 보호예수를 진행할 예정이다.
헬스퀘스트는 미국 내 헬스케어 분야에 방대한 네트워크를 보유한 주요 헬스케어 VC 중 하나로 미국, 유럽을 제외한 아시아 기업에는 처음으로 투자를 진행했다.
캐스딘은 미국의 주요 바이오텍 전문 투자사다. 캐스딘의 투자 포트폴리오 내에는 릴리(Lily)가 인수한 록소 온콜로지(Loxo Oncology)를 비롯해 로슈(Roche)가 인수한 암환자 유전체분석 플랫폼 회사 파운데이션메디슨(Foundation Medicine), 일반인 유전자 정보 분석기업 23앤미(23&Me) 등 150개 이상의 바이오헬스케어 기업이 있다. 이 중 40여개 회사는 현재 상장사다.
ACS 브라이트엣지는 미국 암학회(American Cancer Society, ACS)의 투자기관으로 미국, 이스라엘을 제외하고 다른 국가 기업에 투자하는 것은 이번이 첫 시도다.
NSG 벤처스의 공동창립자이자 파트너인 티모시 루(Timothy Lu) 미국 매사추세츠공대(MIT) 교수는 하버드 의대 출신이다. 상장기업인 바이옴엑스(BiomX)를 비롯한 7곳 이상 바이오 스타트업을 창업한 경험이 있다. 스라이브(Thryve)와 같은 헬스케어 기업의 자문위원으로도 활동하고 있는 글로벌 바이오업계 주요 인물이다.
서범석 루닛 대표는 "루닛은 회사 설립 이래 해외 파트너사와 협업관계를 구축하고, 해외 전문인력 채용과 해외 투자 유치 등 글로벌 시장 진출을 위해 지속 노력해왔다"고 말했다.
그러면서 "사실상 이번 프리IPO는 국내 의료기기 기업으로는 처음으로 해외 VC에서 투자를 받았다는 점에서 큰 의미가 있다. 이들 투자사를 통해 회사의 글로벌 사업역량과 네트워크가 한 차원 더 성장할 것으로 기대된다"고 전했다.
#RSNA에서 공개할 2개 신제품 기능은
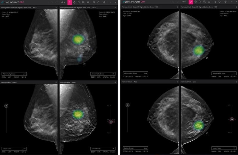
이번 RSNA에서 첫 공개될 루닛 인사이트 체스트 CT와 루닛 인사이트 DBT는 흉부 CT와 DBT 각각에 AI를 적용해 보다 빠르고 정확하게 판독해 의사 진단을 돕는 역할을 한다.
흉부 엑스레이와 유방조영술이 폐암과 유방암을 유발할 수 있는 질병을 1차적으로 발견하는 검사라면, CT와 DBT는 검출된 결절을 더 자세히 관찰해 암을 구별할 수 있는 보다 정교한 검사라 할 수 있다.
루닛 인사이트 체스트 CT는 흉부 CT 영상에서 검출된 결절의 위치, 유형, 부피, 크기 등을 3차원으로 자동 생성하는 솔루션이다. 루닛 인사이트 DBT는 AI를 활용해 병변이 의심되는 3차원 영상 이미지를 빠른 속도로 표시하는 솔루션이다. 이들 신제품은 기존 2차원 영상 진단에서 3차원으로 제품군이 확장됐다는 점에서 의미가 크다.
서범석 대표는 "이번 학회에서 내년 정식 출시를 앞둔 신제품 루닛 인사이트 체스트 CT와 루닛 인사이트 DBT를 처음 선보이게 돼 감회가 새롭다. 앞으로도 다양한 연구를 통해 학술적 신뢰도와 기술 정확도가 높은 제품을 지속 개발해 나갈 것"이라고 전했다.
AI타임스 박성은 기자 sage@aitimes.com
