의료 인공지능(AI) 전문 뷰노(대표 이예하)는 세계 최대 X-레이 OEM 전문 세데칼과 AI 기반 판독 보조 솔루션 '뷰노메드 체스트 X-레이' 공급 계약을 체결했다고 11일 밝혔다.
세데칼은 1994년 설립, 스페인에 본사를 둔 글로벌 X-레이 주문자상표부착생산(OEM) 전문 기업이다. GE헬스케어, 지멘스, 필립스, 아그파 등 대표 글로벌 의료기기 기업에 OEM 형태로 엑스레이 시스템을 납품 중이다. 아울러 미국, 프랑스를 거점으로 엑스레이 제조 전문 자회사를 보유했다.
뷰노는 세데칼에 뷰노메드 체스트 X-레이를 공급, 세데칼은 엑스레이 시스템에 해당 AI 솔루션을 연동해 해외 주요 국가에 판매할 예정이다. 이미 지난 1월 제품 연동을 완료, 초도 물량에 대해 첫 구매 발주를 진행한 바 있다.
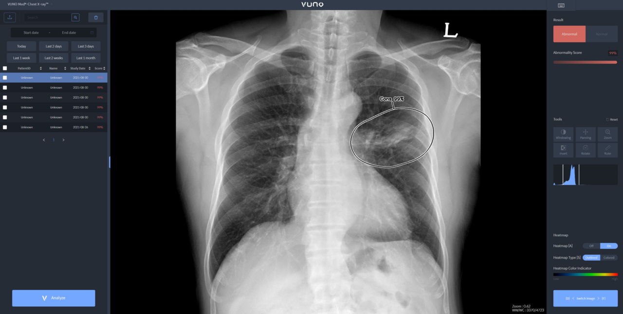
뷰노메드 체스트 X-레이는 흉부 X-레이 영상에서 결절, 경화, 간질성 음영, 흉수, 기흉 등 주요 이상소견을 높은 정확도로 탐지하는 AI 솔루션이다. 의료진에게 이상소견의 소견명과 위치를 제시해 결핵, 폐렴 등 주요 폐 질환 진단을 돕는다. 경량화 모델로 개발해 다양한 X-레이 장비에 쉽게 연동이 가능하다.
양사는 연동 시스템을 유럽 주요 국가에 집중적으로 판매할 계획이다. 추후 남미, 중동, 아프리카 등 다른 지역까지 판매망을 넓혀나갈 예정이다. 미국식품의약국(FDA) 인허가도 수년내로 추진, 미국 시장 진출에 나설 방침이다.
이예하 뷰노 대표는 “우수한 글로벌 네트워크를 보유하고 있는 세데칼과 협업해 AI 솔루션의 B2B 사업을 강화, 유럽 지역을 중심으로 해외 성과를 가속화하는 기반을 마련했다”라고 말했다.
장세민 기자 semim99@aitimes.com
