의료 인공지능(AI) 전문 뷰노(대표 이예하)는 아랍에미리트(UAE) 국군 병원인 자이드 군 병원에 AI 기반 X-레이 판독 보조 솔루션을 공급했다고 22일 밝혔다.
자이드 군 병원에 도입한 솔루션은 이동형 X-레이 장비에 뷰노 AI 기반 흉부 X-레이 판독 보조 솔루션 '뷰노메드 체스트 X-레이'를 탑재한 패키지 제품이다.
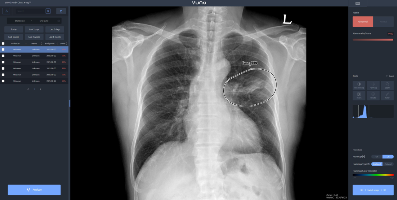
뷰노메드 체스트 X-레이는 흉부 X-레이 영상에서 결절, 경화, 간질성 음영, 흉수, 기흉 등 주요 이상소견을 높은 정확도로 탐지하는 AI 솔루션이다. 의료진에게 이상소견의 소견명과 위치를 제시해 결핵, 폐렴 등 주요 폐 질환 진단을 돕는다. 경량 모델로 개발해 다양한 X-레이 장비에 쉽게 연동할 수 있는 것이 특징이다.
별도 차폐 시설 없이 다양한 상황에서도 쉽게 환자의 흉부 X-레이 촬영을 할 수 있도록 이동형 장비에 연동, 수초 이내에 판독 결과를 확인할 수 있다는 설명이다.
해당 패키지 제품은 뷰노가 과학기술정보통신부 및 정보통신산업진흥원(NIPA)이 추진하는 ‘군 의료영상 데이터 기반 인공지능 판독 시스템 고도화 및 실증 사업’의 일환으로 개발한 결과물이다. 격오지를 중심으로 현장 의료 서비스가 가능하도록 설계, 의료 인프라가 낙후한 지역에서도 진단 편차를 줄이고 판독 효율성과 정확도를 크게 높일 수 있다.
한편 뷰노는 정부부처와 협력해 지난해 11월 우즈베키스탄 국군 중앙병원, 국군 의무학교 등 주요 군 병원 5곳에 제품을 공급하는 등 중동 지역 내 도입 성과를 늘리고 있다.
뷰노메드 체스트 X-레이의 해외 사업을 지속적으로 강화, 글로벌 판매망을 구축한 유수 의료장비 기업들과 B2B 형태의 계약을 연이어 체결하며 매출까지 확대하고 있다. 연내 미국 식품의약국(FDA) 인허가 획득도 추진 중이다.
이예하 뷰노 대표는 “정부부처의 지원을 통해 중동 지역 내 뷰노 제품 도입 성과를 꾸준히 늘리며 현지 군 보건의료 서비스 품질 향상에 기여하고 있다”라며 “올해 하반기 미국 FDA 인허가 획득 등 해외 사업 강화를 위한 주요 모멘텀을 앞두고 있는 만큼 꾸준히 성과를 보일 수 있도록 노력하겠다”라고 말했다.
장세민 기자 semim99@aitimes.com
